A bis Z

Amalgam

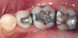
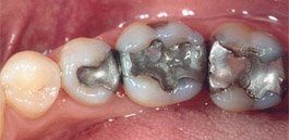
Amalgam ist ein Zahn-Füllungsmaterial, welches erstmals 1825 in der Zahnmedizin verwendet wurde. Es besteht aus einer Mischung von pulverförmigen Metallen (Silber, Zinn, Kupfer, Zink, Quecksilber), die mit flüssigem Quecksilber vermengt wird. Amalgam ist relativ anspruchslos in der Verarbeitung, äusserst langlebig und günstig. Weltweit stellt Amalgam immer noch das weitaus am häufigsten verwendete Füllungsmaterial dar. In der Schweiz ist der Einsatz von Amalgam stark zurückgegangen. Einerseits vermag dieses Material den gestiegenen ästhetischen Ansprüchen der meisten Patienten nicht mehr zu genügen, andererseits sind in den letzten Jahren vermehrt Stimmen betreffend seiner Toxizität laut geworden. Inwieweit die Ablagerung von quecksilberhaltigen Verbindungen im menschlichen Körper gesundheitlich relevant ist, wird höchst kontrovers diskutiert.

Relativ unbestritten ist hingegen die Tatsache, dass es in unmittelbarer Umgebung von Amalgamfüllungen zu Schleimhautveränderungen kommen kann. Allergien sind nach aktuellem schulmedizinischen Wissensstand äusserst selten. In einem Punkt sind sich jedoch alle Lager einig: Jede gelegte Füllung muss irgendwann (in letzter Konsequenz beim Ablebend eines Menschen) entsorgt werden. Die Entsorgung quecksilberhaltiger Materialien stellt ein ökologisches Problem dar, da freies Quecksilber oder dessen Verbindungen nicht in die freie Natur gelangen sollten. Aus ästhetischen und umweltbedingten Gründen wird in unserer Praxis daher auf Amalgam verzichtet. Für die Neuanfertigung von Füllungen verwenden wir die Alternativen Keramik und Kunststoff.

Autor: Dr. med. dent. Dr. med. Balthasar Zaugg

zurück