A bis Z

Kunststoff

Kunststoff (Fachausdruck „Komposit“) ist ein seit vielen Jahren bekanntes Material. Waren die ersten Vertreter dieser Materialklasse noch relativ unbeständig und wenig belastbar, verfügen wir heute über qualitativ hochstehende Kunststoffe. Komposite bestehen aus einer Matrix (Grundmasse), die mit Glaspartikeln (Füller) vermengt ist. Durch das Bestrahlen mit blauem Licht, wird eine chemische Kettenreaktion ausgelöst, die zum Erstarren der Matrix und somit zum Aushärten des Materials führt. Kunststoff eignet sich bis heute nur als Füllungsmaterial, die Anwendung für Kronen und Brücken ist noch zu wenig erprobt.

Im Gegensatz zu Amalgam dessen „Haftung“ nur durch die Art der Präparation des Zahnes zustande kommt, geht Komposit eine chemische Verbindung mit der Zahnsubstanz ein; Kunststoff klebt also am Zahn. Dies bietet den Vorteil, dass nicht mehr eine definierte Form aus dem Zahn herausgebohrt, sondern nur noch die kariöse Zahnsubstanz entfernt werden muss. Neben der minimalen Präparation des Zahnes dürfen die gute Ästhetik , die Verarbeitung in einer einzigen Sitzung und der Preis (je nach Grösse und Anzahl der Füllungen: Fr. 200.- bis 450.-) genannt werden.

Der Klebevorgang ist feuchtigkeitsempfindlich. Aus diesem Grund muss das Arbeitsgebiet mit einem sogenannten „Kofferdam“ (Latextuch) von der übrigen Mundhöhle isoliert (abgegrenzt) werden. Die Lebensdauer einer Kompositfüllung ist im Wesentlichen davon abhängig, wie gut sie gepflegt (geputzt) wird. Es ist deshalb äusserst wichtig, dass Kunstofffüllungen regelmässig von einer Fachperson (Zahnarzt, Dentalhygienikerin) überprüft werden. Komposite verfärben sich im Lauf der Jahre anders als die natürliche Zahnsubstanz, wodurch sie allmählich mehr oder weniger sichtbar werden.

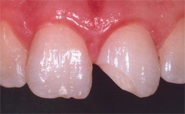
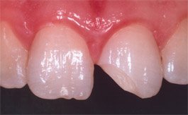
Frontzahnfüllungen werden aus ästhetischen Überlegungen meist mit Komposit hergestellt. Kleinere und mittelgrosse Defekte im Seitenzahnbereich können problemlos mit Kunststoff gefüllt werden. Bei grossen und sehr grossen Restaurationen stösst die Technologie an ihre Grenzen. Der Grund liegt in der Beständigkeit gegenüber der Kaubelastung. Je grösser der Defekt und je grösser die Belastung desto früher werden die Komposite abgetragen oder es kommt zu Undichtigkeiten am Füllungsrand und in Folge dessen zu Kariesbildung in diesem Bereich. In solchen Fällen drängt sich die Versorgung mit einer keramischen Arbeit als dauerhafte Lösung auf.

Autor: Dr. med. dent. Dr. med. Balthasar Zaugg

zurück