A bis Z

Weisheitszahnentfernung

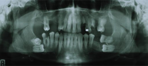
Die Tatsache, dass ein Weisheitszahn im üblichen Alter noch nicht durchgebrochen ist, stellt noch keinen Grund zur Entfernung dar. Die Beurteilung erfolgt deshalb individuell mit den entsprechenden klinischen und röntgenologischen Befunden (Panoramaschichtaufnahme).
Die häufigsten Gründe für die Entfernung der Weisheitszähne sind nachfolgend aufgeführt.
Weisheitszähne, die teilweise oder vollständig unter dem Zahnfleisch liegen und nicht in die Zahnreihe eintreten, können

  • Druck auf die vorderen Zähne ausüben und diese schädigen (Auflösung der Zahnsubstanz, Karies, Nervenentzündung)
  • zu Verschiebungen der vorderen Zähne führen
  • eine Zahnfleischentzündung verursachen
  • Zysten bilden.

Weisheitszähne, die in die Zahnreihe eintreten, sind schwierig zu pflegen. Sie werden deshalb oft kariös. In solchen Fällen ist die Extraktion des Weisheitszahnes einer Füllung in der Regel vorzuziehen.

Ablauf der Extraktion
Ein in die Zahnreihe durchgebrochener Weisheitszahn kann in den meisten Fällen problemlos entfernt werden. Ist der Zahn unter dem Zahnfleisch verborgen, muss er zuerst freigelegt werden. Das Zahnfleisch wird eröffnet und häufig wird auch den Zahn umgebender Knochen entfernt. Der Zahn selbst muss eventuell in Teilen entfernt werden. Die Wunde wird mit Nähten verschlossen, und ein Verband verhindert eine Infektion des Wundgebiets.

Eine Lokalanästhesie lässt Sie vom Eingriff selbst nichts spüren. Die Dauer der Operation ist nur teilweise vorhersehbar; im einfachsten Fall kann ein Zahn nach zehn Minuten, im schwierigsten nach mehr als einer Stunde entfernt sein. Es wird jeweils nur eine Kauseite behandelt, damit Sie bis zur Nachkontrolle nach 7-10 Tagen auf der anderen Gebissseite normal essen können.    

Kosten
Je nach Aufwand müssen Sie pro Zahn mit Kosten zwischen CHF 150.- und 600.- rechnen. Dieser Aufwand ist nach genauer Diagnostik ungefähr abschätzbar. Gerne erarbeiten wir Ihnen auf Anfrage eine schriftliche Kostenschätzung. Sind die Zähne mit einer Zyste vergesellschaftet, übernimmt Ihre Krankenkasse unter Umständen die Kosten. In der Regel müssen Sie die Kosten jedoch selbst tragen. Wir bitten Sie, Ihren Versicherungsschutz selber abzuklären; das Einsenden der Kostenschätzung oder der Rechnung an Ihre Krankenkasse sollte mit einer vorgängigen telefonischen Nachfrage eingeleitet werden.

Autorin Dr. med. dent. Antje Straub

Infoblatt Weisheitszahnentfernung

zurück