A bis Z

Teilprothese

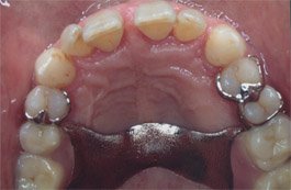
Bei einer Teilprothese bestehen noch eigene Zähne oder Zahnwurzeln, die als Verankerung für den Zahnersatz dienen können. Dies erlaubt gegenüber der Totalprothese eine viel grazilere und feinere Gestaltung. Der Halt der Prothesen ist je nach Konstruktion genügend bis sehr gut. In unserer Praxis werden je nach Bedarf verschiedene Halteelemente angewendet:

Autor: Dr. med. dent. Reto Neeser

zurück