A bis Z

Rezession

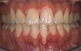
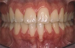
Eine Rezession bezeichnet den Rückgang des Zahnfleisches am Zahn, das heisst die Wurzeloberfläche ist freigelegt. Als häufigste Begleiterscheinung treten Zahnhalsüberempfindlichkeiten, keilförmige Defekte am Zahnhals, ästhetische Einbussen und Wurzelkaries infolge mangelhafter Mundhygiene auf. Rezessionen können in der Regel durch eine sorgfältige und schonende Mundhygienetechnik gestoppt werden. Unser Prophylaxeteam unterstützt Sie kompetent bei der Umstellung Ihrer Putztechnik und bei der Auswahl der richtigen Zahnbürste. Verschlechtert sich eine Rezession trotz dieser Massnahmen oder ist eine ästhetische Korrektur der entblössten Wurzeloberfläche erwünscht, so ist eine Rezessionsdeckung sinnvoll.

Autorin: Dr. med. dent. Antje Marianne Straub

zurück