A bis Z

Professionelle Zahnreinigung

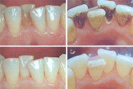
Die professionelle Zahnreinigung beinhaltet die Entfernung von bakteriellen, weichen und harten Zahnbelägen: der Plaque und des Zahnsteins. Die Instrumentation erfolgt teilweise mit dem Ultraschallgerät und/oder durch Handinstrumente. Um die Zahnoberfläche wieder fein zu machen, werden mittels einer fluoridhaltigen Paste die Zähne poliert und auch Verfärbungen entfernt.

Die regelmässige professionelle Zahnreinigung ist nicht nur eine kosmetische Massnahme, sie dient vor allem der Gesunderhaltung von Zähnen und Zahnhalteapparat. Sie kann durchaus ein Wohlfühlerlebnis für Ihre Zähne und gesundes Zahnfleisch sein. Ziel ist es, eine saubere Zahnoberfläche zu erhalten, so dass Sie zu Hause wieder eine perfekte Mundhygiene ausführen können. Durch optimale Hygieneverhältnisse können Karies und Zahnbetterkrankungen weitgehend vermieden werden. Die Zahnreinigung ist in unserer Praxis Aufgabe der Dentalhygienikerin und der Prophylaxeassistentin.

Autorin: Marianne Kaegi

zurück