A bis Z

Parodontitis

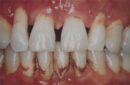
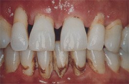
Parodontitis ist eine entzündliche, gewebeabbauende Erkrankung des Zahnhalteapparats. Zum Zahnhalteapparat gehören Zahnfleisch, zahntragender Kieferknochen und Verankerungsstrukturen – sie werden unter dem Begriff Parodont zusammengefasst.

Die Hauptursache der Erkrankung bilden bakterielle Beläge, die wie folgt unterschieden werden:

  • Plaque: Weicher Belag aus Bakterien, der auf Zähnen und am Zahnfleisch haftet. Plaque kann bei der täglichen Zahnpflege entfernt werden.
  • Zahnstein: Harter, verkalkter Belag. Dieser kann nur mittels einer professionellen Zahnpflege durch unser Prophylaxeteam entfernt werden

Werden diese Bakterienbeläge mehr als zwei Tage nicht entfernt, entzündet sich das Zahnfleisch (= Gingivitis, siehe unter dem Begriff Gingivitis): Es ist gerötet, geschwollen und meist blutet es bei Berührung oder der Zahnpflege. Der Zahnfleischsaum um die Zahnwurzel lockert sich auf, sodass die Beläge mit der Zeit in die Tiefe wandern können. Dadurch breitet sich die Entzündung in den tiefer liegenden Geweben aus, es tritt ein Zahnfleischschwund auf und Kieferknochen wird im fortgeschrittenen Stadium der Erkrankung abgebaut Es bildet sich eine vertiefte Zahnfleischtasche. Die Folgen davon sind, dass sich Zähne verschieben können, beweglich werden oder sogar Schmerzen auftreten. Wenn nichts unternommen wird, kann es zum Zahnausfall kommen.

Neben den bakteriellen Belägen können die folgenden Faktoren das Entstehen einer Parodontitis fördern:

  • Rauchen
  • Stress
  • Diverse Allgemeinerkrankungen, z.B. Diabetes
  • Genetische Veranlagung
  • Alter

Diese Faktoren tragen oft zu einem rascheren Fortschreiten der Parodontitis bei, weil sie den Zahnhalteapparat (Parodont) für potentiell schädliche Bakterien empfindlicher machen.

Externer Link zu diesem Thema:

www.parodontologie.ch

zurück