A bis Z

Orthofolio

Es handelt sich dabei um ein System zur Korrektur von kleineren Zahnfehlstellungen, das mittels unsichtbarerer Kunststoffschienen funktioniert. Wir stellen in unserer Praxis Modelle her und planen mit unserem für Kieferorthopädische Apparaturen spezialisierten Zahntechniker Labor Lüthi in Buchs ein „Set up“ her, das die gewünschte Zahnstellung simuliert. Anhand dieser Unterlagen werden die Orthofolioschienen hergestellt, und der Zahnarzt zeigt dem Patienten die korrekte Anwendung. Die Schienen sind auf Sprechdistanz nicht sichtbar und brauchen in der Regel nur eine kurze Angewöhnungszeit. Jede neue Schiene verursacht leichte Spannungsschmerzen.

Da die Schiene durch die Zahnbewegung jedoch immer besser passen, nimmt die Spannung nach wenigen Tagen ab. Es ist absolut notwendig, die Schienen während 24 Stunden pro Tag zu tragen, sie werden nur zum Essen und dem Zähneputzen entfernt. In der Regel wechseln wir im Rhythmus von zwei Wochen zur nächsten aktiven Schiene und kontrollieren den Behandlungsverlauf. Die Behandlungsdauer ist abhängig von der Anzahl Schienen; erfahrungsgemäss ist die Behandlung bereits nach drei Monaten erfolgreich. Nach dem Erreichen des gewünschten Resultates muss die Retention der Zahnstellung mittels eines auf der Innnenseite der Zähne aufgeklebten Drahtes (Retainer) oder einer Nachtschiene gesichert werden.

Die Vorteile des Orthofoliosystems gegenüber herkömmlichen Spangen sind:

-fast unsichtbar
-komfortabel
-Zahnreinigung ist nicht beeinträchtigt
-metallfreie Apparatur
-günstiger

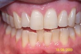
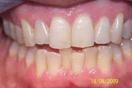
Gerne zeige ich Ihnen in den folgenden Bildern, wie die Behandlung funktioniert. Der Patient in diesem Falle bin ich, Dr. Neeser. Ich hatte mich lange an meinen engen Zähnen gestört. Die Situation war schwierig zu reinigen, und gefallen hat mir das ganze auch nicht besonders, ich bin ja Zahnarzt. Die Behandlung dauerte knapp drei Monate, und ich empfand die Therapie als absolut nicht einschränkend. Die Bilder links dokumentieren das Vorgehen.

Autor: Dr. Reto Neeser

Externer Link zu diesem Thema:

www.karrdental.ch

zurück